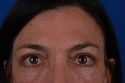
Our world-class eyelid surgery in Torrance at Marcus Medical creates a change that is elegant, refreshed, and appears entirely natural. When this delicate, precision procedure is performed by our double board-certified facial plastic surgeon, you can expect stunning results – subtle, refined, and never overdone. Our award-winning surgeon sets a new standard for quality.
Elevate Your Look with a Subtle Change
If you are looking for a subtle youthful change to elevate your appearance, and are experiencing the natural changes in your eyelids, you can trust the facial plastic surgeons at Marcus Medical to perform this procedure with ultimate precision for a very natural-looking result.
During your consultation, Dr. Marcus will discuss the limitations of an eye lift and your other surgical options, including facelift, neck lift, or brow lift. He will work with you one-on-one to choose the procedure or set of procedures that achieve your personal aesthetic vision.
















