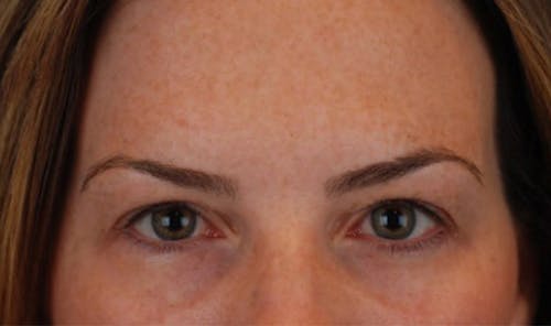
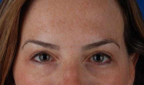
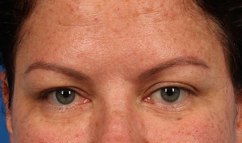
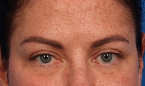
Time takes a toll on the delicate facial skin. One of the first areas damage will appear is on the upper eyelids. As the muscles in the area weaken and the skin loses its elasticity, it can become susceptible to fatty deposits.
Benefits of Upper Eyelid Surgery
The upper eyelids can become droopy and puffy as the skin stretches and the delicate muscle structure loses its elasticity and begins to sag. Fat pockets can bulge and become more prominent, making you appear older, tired, or upset, even at the best of times.
Unfortunately, this condition is a natural part of the aging process, but the good news is that it can be corrected. Upper eyelid surgery can correct hooded skin on the eyelids and give the face a more youthful, healthier, more vital appearance. It can also correct the vision problems caused by overhanging eyelids.
Upper eyelid surgery in Los Alamitos is a popular procedure that has helped many men and women improve their appearance, and remove obstructions to vision caused by loose, drooping eyelid skin. Dr. Marcus at Marcus Facial Plastic Surgery is known for establishing a rapport and nurturing partnership with his patients, and for delivering beautiful, natural-looking results. If you would like to correct sagging, puffy upper eyelids that make you look old and weary, or drooping eyelids are interfering with your vision, we invite you to schedule a consultation and meet with Dr. Marcus. Upper eyelid surgery can significantly rejuvenate your entire facial appearance.













